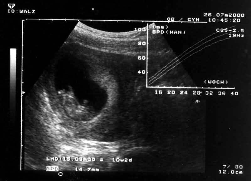
Kieran Urs Magnus Roth

* 2. März 2001

+ 9. März 2001

26. Juli 2000

 zurück  Ultraschallbilder  weiter